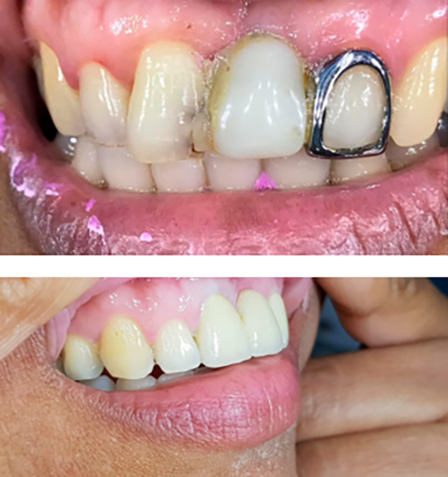
Implante dental
¿Qué es un implante dental?
Es un tornillo de titanio biocompatible con nuestro organismo humano, que se va colocar dentro del hueso alveolar, comúnmente tiene diversos tamaños, dependiendo del tipo de diente que se va remplazar y del caso. La función principal de un implante dental es sustituir un diente, sin embargo se pueden usar 2,3,6 para remplazar una arcada dental completa.
