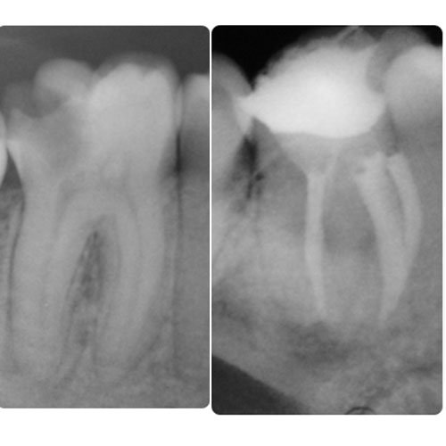
Conozca más casos dentales en nuestra Fanpage: ABC Clinica Dental dentista en guatemala. Implantes dentales